Account

The Actual News

Just the Facts, from multiple news sources.

Huntington’s Disease Treatment Breakthrough: What to Know

Huntington’s Disease Treatment Breakthrough: What to Know

Summary

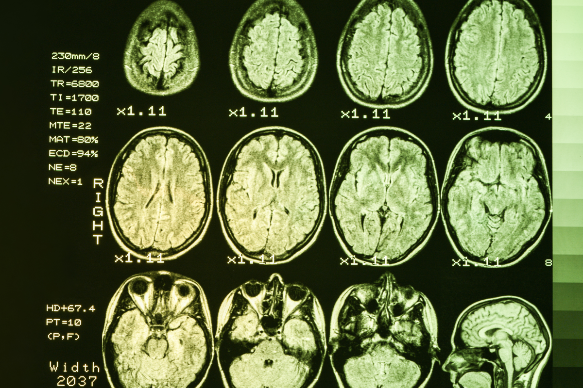
Scientists in the UK have found a new treatment called AMT-130 that could slow the progression of Huntington's disease, a severe genetic disorder. In clinical trials, patients showed 75% less disease progression compared to those not receiving the treatment. This is significant because it is the first treatment to effectively slow down the disease rather than just manage symptoms.

Key Facts

  • Huntington's disease affects movement, thinking, and behavior, caused by a genetic mutation.
  • People with a parent who has Huntington's have a 50% chance of inheriting the disease.
  • In the U.S., about 41,000 people show symptoms, and 200,000 are at risk of inheriting it.
  • The new treatment, AMT-130, is a form of gene therapy injected into the brain.
  • Clinical trials showed a 75% reduction in disease progression over 36 months.
  • The therapy uses a virus to deliver functional DNA to brain cells.
  • Participants in the trial showed more stable conditions over three years.
  • There is no “off switch” to this gene therapy, making careful administration crucial.

Source Information